Paediatric ENT Conditions
Otitis Media with Effusion (Glue Ear)
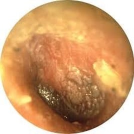
Otitis media with effusion (OME), commonly known as glue ear, is a condition where there is persistent fluid buildup in the middle ear cavity behind the eardrum. Unlike acute otitis media (AOM) which is an active infection of the middle ear, glue ear involves fluid accumulation without signs of acute infection.
Causes include Eustachian tube dysfunction whereby the Eustachian tube - connecting the middle ear to the back of the throat - may not function properly due to factors like allergies, sinus infections, or structural issues. An earlier bacterial or viral infection can lead to lingering fluid in the middle ear. Also, environmental factors like allergies, exposure to smoke, or changes in altitude can contribute to fluid retention.
Children may suffer from mild to moderate hearing loss, which may fluctuate; a feeling of fullness or pressure in the ear, speech and language delays or very rarely, balance issues.
Diagnosis & Treatment
An otoscopic examination lets the paediatric ENT visually inspect the ear canal and eardrum. A tympanometry might be required to measure the movement of the eardrum to assess middle ear function and fluid presence. Thirdly, audiometry (hearing tests) can assist in the diagnosis by assessing the extent of hearing loss.
Many cases of glue ear resolve spontaneously within a few months without intervention. If not, nasal steroids or decongestants may help reduce inflammation and improve Eustachian tube function. For persistent or severe cases, tiny tubes called Grommets, inserted through the eardrum can help drain fluid and equalise pressure in the middle ear.

